
Дослідники розробляють експеримент на людях, в якому пацієнтів з гліобластомою посадять на обмежену дієту до операції з видалення пухлини. Дослідження опубліковано в журналі Nature Communications.

Вчені видалили певні амінокислоти з раціону гризунів, які страждають на гліобластому (смертельну форму раку мозку) і виявили, що деструктивні клітини почали вмирати в результаті процесу фероптозу. Більш того, миші, яких посадили на обмежувальну дієту, також були більш сприйнятливі до ліків, які викликали той же тип загибелі ракових клітин. Результати дослідження допоможуть в боротьбі з хворобою у людей, вважають вчені.
Смерть клітин всередині людського тіла — нормальна частина його функціонування. За допомогою апоптозу, аномальні клітини, які більше не потрібні, руйнуються і реабсорбуються. Однак цей процес блокується в аномальних клітинах, тому організму складніше позбутися від них. У підсумку, вони розмножуються і створюють небезпеку для здоров’я людини. Ферроптоз — ще один тип загибелі клітин, виявили порівняно недавно; ключову роль в ньому грає залізо. Раніше його активацію зв’язали з можливим способом боротьби з раком.
Дослідницька група з Медичної школи Університету Північної Кароліни і Колумбійського університету виявила, що клітини, які беруть участь у формуванні гліобластоми, особливо схильні до загибелі від ферроптозу. При цьому, гліобластома невиліковна і смертельна в 100% випадків. Це рак, який швидко розвивається із середнім періодом виживання всього 16 місяців.
В рамках дослідження вчені годували мишей дієтою, яка обмежувала споживання цистеїну і метіоніну, двох амінокислот сірки. Раніше скорочення цих речовин пов’язували з ферроптозом і загибеллю ракових клітин при раку легенів і підшлункової залози, а також при саркомах. Біологи не тільки виявили, що така дієта підвищує ймовірність загибелі клітин гліобластоми від фероптозу. Також вони відзначили, що клітини стають більш сприйнятливими до хіміотерапевтичних препаратів, а, значить, їх можна вводити в більш низьких дозах. У всіх мишей на спеціальній дієті період виживання був краще, ніж у тварин з контрольної групи. Гризуни, яких тримали на комбінованій дієті і режимі хіміотерапії, відчували себе краще.
Цистеїн міститься в цілісному зерні, яловичині, яйцях і птиці, а продукти з високим вмістом метіоніну включають бразильські горіхи, рибу і свинину, а також яловичину, яйця і птицю. Неясно, чи будуть пацієнти з гліобластомою на дієті, яка обмежує ці амінокислоти, жити так само, як миші. Однак Домінік Хіггінс, провідний дослідник Медичної школи Університету Північної Кароліни планує з’ясувати це.
«Тепер нам потрібно знайти спосіб усунути ці компоненти (цистеїн і метіонін) за рахунок дієтичних потреб, зберігаючи при цьому енергетичні, які можуть бути у пацієнта, особливо у онкологічного хворого», — сказав Хіггінс.

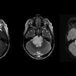
МРТ-зображення гліобластоми. Автор: Домінік Хіггінс, доктор медицини, доктор філософії
Він працює з колегами над розробкою дослідження на людях, в якому пацієнтів з гліобластомою посадять на обмежену дієту до операції з видалення пухлини. Після хірургічного втручання вчені проаналізують пухлини, щоб побачити, який ефект справила дієта.
Стаття Спеціальна дієта запускає самознищення ракових клітин мозку у мишей з'явилася спочатку на Цікавості.